Espace Dentaire Carnot
API Aix Implanto Paro
Implantologie - Parodontologie - Prothèse
Espace Dentaire Carnot
API Aix Implanto Paro
Implantologie - Parodontologie - Prothèse

47 bis D Boulevard Carnot
13100 AIX EN PROVENCE

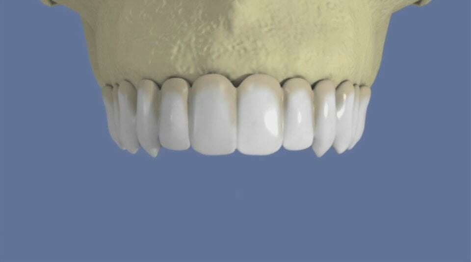
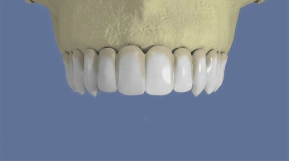
Maxillaire : bridge vissé sans fausse gencive


video-play-icon

Articles similaires

Création par Webdentiste

Connexion