 
  Marion, 28 ans, sans aucun problème de santé, vient consulter pour consulter des saignements au quotidien lors de son brossage. Elle présentait une gingivite pour laquelle une séance a été suffisante pour retrouver une santé parodontale.
 
  Sylvain, 38 ans, sans problème médical, vient consulter pour un saignement, mauvaise haleine et gonflement de sa gencive par moment. Il présente une parodontale débutante pour laquelle 2 séances ont suffit pour stabiliser la situation.
 
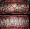
  Arthur, 42 ans, se présente au cabinet avec des bourdonnements de ses gencives, non douloureux, qui l'empêchent de manger et qui le gênent esthétiquement. Il est fumeur mais n'a aucun problème de santé. Il avait été opéré pour cela enfant.
Le diagnostic de Fibromatose Gingivale Héréditaire est posé.
Voila résultat après 1 mois post traitement chirurgical.
 
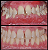
  Dominique, 58 ans, présente une parodontale avec des saignements et mobilités dentaires.
Suite à un traitement non chirurgical en 5 séances, une chirurgie a été réalisée pour traiter les lésions profondes résiduelles et combler ses lésions infra-osseuses par des cellules souches et de l'os.
A 10 mois post opératoire, nous observons un comblement total des lésions infra-osseuses, la disparition des l&sions profondes et une architecture osseuse horizontale.
La patiente est désormais en santé parodontale et ses dents peuvent être conservées.
 
  Julie, 24 ans, présente un Lupus depuis 10 ans, elle est traitée pour cela.
Elle est inquiète car ses saignements et gonflements de gencive ont progressé depuis quelques mois.
Elle présentait une parodontale pour laquelle 5 séances, sans chirurgie, ont été nécessaires pour stabiliser cette maladie chronique.
Elle doit être suivi en maintenance parodontale tous les 4 mois par son chirurgien dentiste traitant tout au long de sa vie.
 
  Henri, 38 ans, fumeur sans aucun problème de santé, vient consulter en urgences pour des douleurs et gonflement de gencive avec saignements. Il présentait une parodontale pour laquelle 4 séances, sans chirurgie, ont été nécessaires pour stabiliser cette maladie chronique.
Il a arrêté de fumer et doit être suivi en maintenant parodontale tous les 6 mois par son chirurgien-dentiste traitant tout au long de sa vie.